何歳からでも遅くない!アラフォーで歯列矯正中。矯正して1年経ちました。
投稿日:2023年9月12日
カテゴリ:スタッフブログ
こんにちは。
盛岡市大通り商店街にある盛岡KT歯科・矯正歯科です。
当院では虫歯治療や歯周病治療などはもちろん
専門の歯科医師による歯科矯正治療やインプラント治療も行っています。
ご覧いただきありがとうございます。
2022年9月末から思い切って矯正治療をスタートさせ、ちょうど1年が経過しました。
何歳からでも遅くない!アラフォーで歯列矯正中。こんなに変わりました。
こちらの記事からさらに4ヶ月経過しました。
現在は2セット目に入り、1週間交換で使用しています!
マウスピースはとても順調で、浮いている部分などありません。
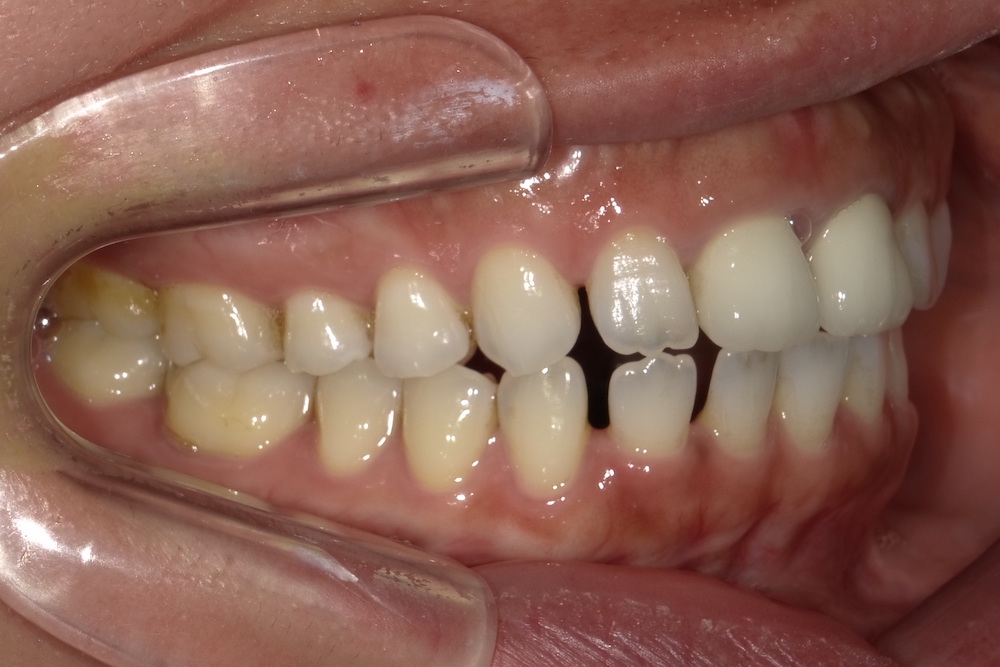
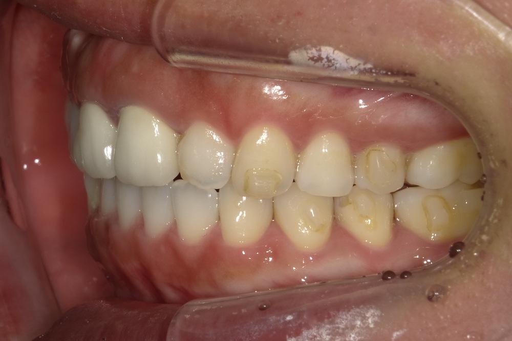
それでは早速経過写真です。
治療前

治療経過1年後

治療前

治療経過1年後

治療前

治療経過1年後

前回からどこが変わっているの??
という声が聞こえそうなくらいあまり変化はありません。
現在下の奥歯が前回マウスピースが浮いてしまい、前に倒れてしまっていました。
そこを現在起こしています。
あとは少し残っている隙間を閉じています!
治療前は歯と歯の隙間が大きかったり小さかったいしていたため、
複数サイズの歯間ブラシで下の歯をお手入れしていましたが、
今は1番小さいサイズの歯間ブラシで全ての歯のお手入れができるようになりました。
歯並びがよくなると、お手入れがしやすくなり虫歯・歯周病の予防に
繋がります。
人生100年時代!
高齢になっても自分の歯で美味しいものをたくさん食べれるように
今から丁寧に,大切に自分の歯を守っていきたいと思います^^

盛岡で矯正歯科をお探しの方、歯並び・口元のお悩みがある方・
当院では矯正無料相談をおこなっています。
■ 他の記事を読む■

